Docteur Bondaz chirurgie Cranio Maxillo Faciale
Accueil
chirurgie de féminisation faciale FFS/chirurgie de féminisation du visage parcours transgenre
introduction
Travaux de recherche
Procédures
photos avant/après
matériel innovant
Chirurgie reconstructrice du visage
chirurgie reconstructrice
Photos avant/après
Chirurgie esthétique du visage
introduction
Articles
PHOTOS AVANT/APRES
Chirurgie pré implantaire et implantaire
introduction
reconstruction osseuse préimplantaire
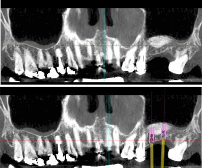
Implantologie
Galerie
chirurgie planifiée par ordinateur
CV
Contact
prise de RDV
publications
Docteur Bondaz chirurgie Cranio Maxillo Faciale
Accueil
chirurgie de féminisation faciale FFS/chirurgie de féminisation du visage parcours transgenre
introduction
Travaux de recherche
Procédures
photos avant/après
matériel innovant
Chirurgie reconstructrice du visage
chirurgie reconstructrice
Photos avant/après
Chirurgie esthétique du visage
introduction
Articles
PHOTOS AVANT/APRES
Chirurgie pré implantaire et implantaire
introduction
reconstruction osseuse préimplantaire
Implantologie
Galerie
chirurgie planifiée par ordinateur
CV
Contact
prise de RDV
publications
reconstruction osseuse préimplantaire
sinuslift
augmentation osseuse en hauteur
En savoir plus
greffe d'apposition
augmentation osseuse en largeur
En savoir plus
0556794908
Bordeaux, CFXM Centre Francois Xavier Michelet